FAST et eFAST Échographie : Deux Protocoles Essentiels pour l’Urgentiste
Qu’est-ce que l’échographie FAST ?
Définition du protocole FAST (Focused Assessment with Sonography for Trauma)
Le protocole FAST est une évaluation échographique ciblée réalisée en contexte de trauma pour détecter rapidement un épanchement liquidien intra-abdominal ou péricardique signant une possible hémorragie. Il s’intègre au bilan primaire et vise à répondre à une question binaire : « y a-t-il du liquide libre ou non ? ». L’approche est standardisée, reproductible et immédiatement disponible au lit du patient, sans irradiation, ce qui en fait un outil clé pour l’urgentiste et les équipes préhospitalières. Il fournit une image immédiate pour orienter la prise en charge des patients après un traumatisme.
Objectif principal : recherche d’hémorragies internes
L’objectif du FAST est d’identifier en quelques secondes des collections anormales de liquide dans des récessus anatomiques où il s’accumule précocement : espaces hépato-rénal et spléno-rénal, pelvis et péricarde. La mise en évidence d’un signe d’épanchement libre oriente vers une hémorragie active et accélère la décision de transfert en salle de déchocage, de scanner ou d’orientation chirurgicale.
Les 4 zones classiques explorées :
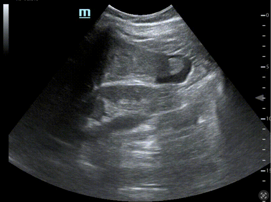
Recessus hépatorénal (espace de Morison)
Fenêtre sous-costale droite avec sonde convexe : on recherche un liseré anéchogène entre le foie et le rein droit. Cet espace est très sensible aux faibles volumes d’épanchement et offre souvent une image caractéristique dès quelques centaines de millilitres au contact du foie.
Recessus splénorénal
Fenêtre sous-costale gauche : exploration de l’angle splénique, du rein gauche et du diaphragme. Chez certains morphotypes, une sonde microconvexe peut améliorer la fenêtre intercostale et la qualité de l’image.
Poche de Douglas (cul-de-sac pelvien)
Coupe sus-pubienne en décubitus dorsal : chez l’adulte, l’épanchement libre se collecte rapidement dans le cul-de-sac. En contexte gynécologique, l’évaluation pelvienne peut nécessiter une approche complémentaire (endovaginale) selon les ressources et la pratique locale. Chez certains patients, cette coupe délivre l’image la plus parlante de l’examen en cas de traumatisme.
Espace péricardique
Fenêtre sous-costale quatre cavités : recherche d’un épanchement péricardique pouvant menacer l’hémodynamique (tamponnade). L’image « quatre cavités » aide à prioriser la stratégie en situation de traumatisme thoraco-abdominal.
Qu’est-ce que l’échographie eFAST ?
Définition : Extended FAST, extension thoracique du protocole FAST
L’eFAST étend le FAST à l’exploration thoracique pour dépister pneumothorax et épanchement pleural. Cette extension augmente la portée diagnostique au lit du patient, en particulier dans les traumatismes thoraciques contondants ou pénétrants, et chez des patients instables.
Intégration de l’examen pulmonaire
L’examen pulmonaire recherche : (1) l’absence de signe de glissement pleural et de lignes B à l’endroit suspect, en faveur d’un pneumothorax ; (2) un espace hypo/anéchogène décollant la plèvre viscérale de la pariétale, compatible avec un épanchement pleural. On analyse la ligne pleurale (glissement) et, si présent, le « point poumon » ; à la base, la ligne de niveau suggère un hémothorax.
Objectif : recherche de pneumothorax et d’épanchement pleural
L’eFAST vise à gagner des minutes critiques : prouver un pneumothorax compressif ou quantifier un hémothorax avant tout retard au scanner. En situation instable, l’échographie permet d’adopter une stratégie de damage control guidée par les signes échographiques, notamment après un traumatisme.
Intérêt en réanimation, traumatologie et médecine d’urgence
Au-delà du déchocage, l’eFAST s’intègre à la surveillance en réanimation (suivi de collections), en médecine d’urgence (triage, réévaluation) et en pré-hospitalier (SAMU/SMUR), où sa portabilité et sa sensibilité aux liquides/air sont décisives pour les patients.
FAST vs eFAST : quelles différences ?
Zones explorées supplémentaires dans eFAST (poumons, plèvre)
Le FAST est essentiellement abdomino-péricardique, alors que l’eFAST ajoute une cartographie thoracique ciblée (plèvres antérieures, latérales et bases) pour dépister pneumothorax et hémothorax ; l’identification d’un signe échographique pleural y est déterminante.
Indications élargies (traumatismes thoraciques, détresse respiratoire)
L’eFAST s’impose lorsque le mécanisme lésionnel ou la clinique évoque une atteinte thoracique : traumatisme à haute cinétique, plaie pénétrante, dyspnée aiguë, ventilation difficile.
Apport du eFAST pour le diagnostic combiné abdomino-thoracique
En combinant abdomen, péricarde et thorax, l’eFAST fournit un panorama lésionnel initial permettant d’anticiper transfusion, geste d’hémostase ou drainage thoracique, et d’optimiser l’orientation vers l’imagerie de seconde ligne.
Tableau comparatif (FAST vs eFAST) pour illustrer les différences
| Caractéristique | FAST | eFAST |
|---|---|---|
| Zones explorées | Abdomen (Morison, spléno-rénal, pelvis) + péricarde | FAST + plèvres/poumons (recherche PTX, épanchement pleural) |
| Objectifs | Dépistage d’hémorragie intra-abdominale/péricardique | Dépistage combiné hémorragie + lésions thoraciques |
| Indications | Trauma fermé ou pénétrant, instabilité, triage | Idem + suspicion de pneumothorax/hémothorax |
| Valeur ajoutée | Décision rapide scanner/chirurgie | Décision rapide drainage/monitorage + parcours d’imagerie |
Note : chaque image échographique doit être interprétée dans son contexte clinique et technique.
Quand et pourquoi utiliser le protocole FAST / eFAST ?
Situations d’urgence traumatique (accidents, chutes, polytraumatismes)
Chez le polytraumatisé, le protocole est réalisé dès l’accueil en déchocage pour identifier les urgences vitales hémorragiques. Il est également utile dans les traumatismes à cinétique moindre si la clinique est évocatrice ou si l’examen initial est limité.
Évaluation préhospitalière par les SMUR / SAMU
En préhospitalier, l’eFAST aide à stratifier le risque avant l’arrivée à l’hôpital : orientation vers un centre traumatologique, anticipation des ressources (chirurgie, transfusion) et pré-alerte des équipes. Les formats portables/ultraportables facilitent cette étape pour des patients souvent très instables.
Suivi post-traumatique et prise en charge chirurgicale rapide
En post-trauma, la répétition ciblée du FAST/eFAST permet de surveiller l’évolution des collections : réapparition d’un liquide libre, majoration d’un épanchement pleural, guidage de drainage, etc. En cas d’aggravation clinique, l’échographie redevient un déclencheur de décision opératoire.
Outil complémentaire à l’imagerie (scanner)
Le scanner demeure la référence pour cartographier les lésions. Le FAST/eFAST ne s’y substitue pas : il complète et accélère la décision, en particulier chez le patient instable, non transportable ou en attente de plateau d’imagerie. L’image échographique alimente la décision en temps réel.
Comment se déroule une échographie FAST / eFAST ?
Préparation et position du patient (souvent en décubitus dorsal)
Le patient est maintenu en décubitus dorsal, immobilisé si nécessaire. L’examinateur se place du côté droit pour débuter par Morison, puis explore systématiquement les quatre fenêtres, avant d’ajouter les fenêtres pleuro-pulmonaires pour l’eFAST.
Utilisation de la sonde abdominale (convexe)
La sonde convexe (2–6 MHz) offre un compromis pénétration/résolution idéal. En thorax, la microconvexe peut améliorer la fenêtre intercostale. Les presets FAST/eFAST optimisent la profondeur (~12–18 cm), le focus et la dynamique pour visualiser rapidement les interfaces et obtenir une image exploitable.
Interprétation rapide : recherche de liquides anormaux ou d’air
L’interprétation est binaire : présence/absence de liquide libre intra-abdominal ou péricardique ; signes positifs de pneumothorax (perte du glissement, point poumon) ; épanchement pleural (ligne de niveau, décollage pleural). Un compte-rendu standardisé note chaque fenêtre et la conclusion opérationnelle.
Limites du protocole : opérateur-dépendance, faux négatifs
Le FAST/eFAST est opérateur-dépendant, comme chaque examen en pratique médicale ; des hémorragies de faible volume ou cloisonnées peuvent passer inaperçues. Les faux négatifs sont plus probables précocement, d’où l’intérêt de répéter l’examen et de corréler à la clinique et à la biologie. Chez EchoFirst®, nous entraînons à reconnaître les pièges (artefacts, angles d’incidence, réglages) et à documenter systématiquement chaque coupe.
Les avantages cliniques du FAST et eFAST
Diagnostic immédiat au lit du patient
L’échographie délivre une réponse immédiate quand chaque minute compte, notamment dans l’hémorragie non compressible, avec une image disponible au lit du malade.
Gain de temps vital en situation critique
En hiérarchisant les priorités (drainage, chirurgie, transfusion), le FAST/eFAST réduit les délais vers la thérapeutique causale. Vous trouverez d’ailleurs un lien vers une belle étude française sur le sujet par ici.
Outil non invasif et portable
Sans irradiation, réitérable et portatif, il accompagne le patient du site de l’accident à la réanimation. :contentReference[oaicite:24]{index=24}
Amélioration de la prise de décision en urgence
Standardisé, traçable et interopérable avec le parcours d’imagerie, il constitue un accélérateur décisionnel partagé par l’ensemble de l’équipe de soins. Chez EchoFirst®, nos programmes de formation intègrent l’apprentissage progressif du FAST/eFAST : anatomie échographique appliquée, protocoles standardisés, drills chronométrés, simulateurs et ateliers sur patients modèles, afin d’assurer une maîtrise fiable et reproductible en conditions réelles.
En conclusion, le FAST et son extension eFAST sont des piliers de l’échographie d’urgence : rapides, ciblés et décisifs. Bien enseignés et correctement exécutés, ils améliorent la sécurité du patient, fluidifient le parcours de soins et renforcent la pertinence des décisions diagnostiques et thérapeutiques — du préhospitalier à la réanimation, en passant par le déchocage.
